Jasa USG Kehamilan 2D di Tulang Bawang Barat, melayani pemeriksaan usg Kehamilan, Hub 0821 8403 1900
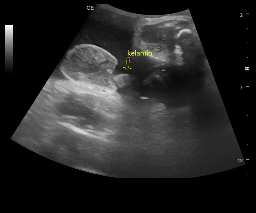
Kehamilan tentunya menjadi momen yang sangat membahagiakan bagi setiap bunda.Terlebih, bunda pasti penasaran dengan kondisi kesehatan janin dan pertumbuhan janin di dalam kandungan.Bunda dapat mengetahui itu semua melaui ultrasonografi (USG). Klinik Zebe Beata Medika melayani jasa USG Kehamilan 2D di Tulang Bawang Barat. Bunda juga dapat melakukan sesi konsultasi dengan dokter yang berpengalaman.


Yuk Periksakan kehamilan bunda dengan USG di Klinik Zebe Beata Medika pulung kencana, Tulang Bawang Barat. Datang segera untuk mendapatkan pemeriksaan dan pelayanan yang dibutuhkan.